【不明腹痛折磨五年 竟是「膽囊腺肌症」作怪】

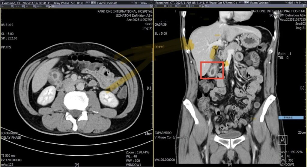
【記者廖銘瑞/高雄報導】49歲的林姓男子五年來,因心窩悶痛與右上腹脹痛四處求醫,做過胃鏡與多次超音波,皆僅顯示輕微胃炎或無結石異常,反覆發作的疼痛成了長期困擾,卻始終找不到病因,近期至博田國際醫院肝膽胰外科看診並接受檢查時,才被發現膽囊壁竟異常廣泛性增厚達正常的六倍,進一步電腦斷層掃描終於確認,是臨床上常與膽結石混淆的「膽囊腺肌症」。

主治醫師李金德教授表示,膽囊腺肌症屬於良性病變,但因膽囊內皮細胞與平滑肌層過度增生,使膽囊壁出現不均勻肥厚,甚至合併膽結石,有時超音波能看到類似小囊腔的影像,往往讓初期診斷難度增加。林先生多年來飯後加劇的上腹悶脹、噁心與背部放射痛的症狀,與一般膽結石極為相似,呈現「症狀明顯,但沒有任何結石」的矛盾現象,因此屢屢被認為是胃部問題或輕微膽囊發炎。

膽囊腺肌症的影像表現其實分成不同型態:有些病灶只侷限於膽囊底部,屬於「局部型」,常在其他檢查中偶然被發現;另一類則出現在膽囊體部,形成明顯的壁層收縮,稱為「節段型」,此型態因與文獻中較高的膽囊癌風險相關,在臨床上特別受到重視;還有一部分患者屬於「廣泛型」,整個膽囊壁都呈現全面性肥厚,容易掩蓋早期惡性變化,使影像判讀更加複雜。正因為三種類型的分佈部位不同、臨床意義也不同,影像醫學的細膩觀察成了確診關鍵。

李教授以單孔腹腔鏡為其進行膽囊切除手術,術後林先生迅速恢復,病理證實為膽囊腺肌症且無惡性變化。他多年無法放鬆吃飯、不敢碰油膩食物的生活終於解除,回診時也表示身體狀況大幅改善,感謝醫師協助找出多年來難解的病因。

李金德教授提醒,膽囊腺肌症整體約佔膽囊手術標本的 2–8.7%,非罕見病變,50至60歲族群是膽囊腺肌症好發年齡,女性略多於男性。若長期飯後疼痛、噁心、飽脹、背痛等症狀反覆出現,尤其影像找不到結石卻常有膽囊炎表現者,更應及早接受肝膽胰外科評估,藉由精準影像判讀與必要時的微創手術,大多數患者都能恢復正常生活,避免長期疼痛影響健康與生活品質。

圖1說:49歲男子因心窩悶痛與右上腹脹痛,五年來四處求醫,近期至博田國際醫院肝膽胰外科看診並接受檢查時,才被發現罹患「膽囊腺肌症」。(博田國際醫院)

圖2說:博田國際醫院電腦斷層掃描發現,男子的膽囊壁竟異常廣泛性增厚達正常的六倍,確認為臨床上常與膽結石混淆的「膽囊腺肌症」。(博田國際醫院)

圖3說:博田國際醫院肝膽胰外科李金德教授以單孔腹腔鏡,進行膽囊切除手術。(博田國際醫院)

圖4說:男子因膽囊內皮細胞與平滑肌層過度增生,使膽囊壁出現不均勻肥厚,甚至合併膽結石,慶幸的是,病理證實為膽囊腺肌症且無惡性變化。(博田國際醫院)